Linfoma linfocítico B intracraneal primario dural: reporte de 2 casos
Primary intracranial dural B cell small lymphocytic lymphoma: report of 2 cases
Vidal Rojas, C.(1); Cabezas Osorio, C.(2); Figueroa Faúndez, F.(1); Briones Muñoz, V.(1); Chandía Cabas, M.(1,3)
(1) Facultad de Medicina, Universidad de Concepción, Concepción, Chile.
(2) Facultad de Medicina, Universidad Católica de la Santísima Concepción, Concepción, Chile.
(3) Servicio de Anatomía Patológica, Hospital Clínico “Dr. Guillermo Grant Benavente”, Concepción, Chile.
Correspondencia: mchcabas@gmail.com
Palabras clave: linfoma primario del sistema nervioso central,
células pequeñas,
linfoma linfocítico B.
Keywords: primary central nervous system lymphoma,
small cell,
B lymphocytic lymphoma.
Resumen
El linfoma no Hodgkin B intracraneal primario dural es un tipo de linfoma primario del sistema nervioso central (SNC), sin evidencia de linfoma sistémico al momento del diagnóstico. Corresponde a una patología muy poco frecuente, cuya histología más habitual corresponde a linfomas de tipo MALT. El linfoma linfocítico del SNC es muy raro, y en los casos publicados tiene buen pronóstico con terapia localizada. En este reporte describimos dos casos de linfoma linfocítico dural intracraneal que se presentan con manifestaciones clínicas y de imágenes sugerentes de meningioma y se trata con cirugía y radioterapia. Uno de los casos recae en forma sistémica, evolución muy inhabitual y no descrita previamente.
Abstract
Dural primary intracranial non-Hodgkin B lymphoma is a type of primary central nervous system (CNS) lymphoma, with no evidence of systemic lym phoma at the time of diagnosis. It corresponds to avery rare pathology, whose most common histology corresponds to MALT-type lymphomas. CNS lym phocytic lymphoma is very rare, and in publishedcases it has a good prognosis with localized therapy.
In this report we describe two cases of intracranial dural lymphocytic lymphoma that present with clinical manifestations and images suggestive of meningioma and are treated with surgery and radiotherapy. One of the cases relapses in a systemic way, a notpreviously reported evolution.
Introducción
El linfoma primario del sistema nervioso central (LPSNC) se origina en cerebro, ojos, leptomeninges o médula espinal, sin evidencia de linfoma sistémico al momento del diagnóstico. Corresponde entre el 1-2% de los linfomas no Hodgkin (LNH), siendo en su mayoría de células B, y aproximadamente el 4% de los tumores cerebrales primarios(1). La mayor incidencia se encuentra en la sexta década de vida, pero su aparición es más precoz en pacientes inmunodeprimidos. En más de un 95% de los casos la histología corresponde a un linfoma difuso de células grandes B, siendo muy poco frecuente la presencia de otros tipos de linfoma. Un tipo de LNH de bajo grado es el linfoma linfocítico de células pequeñas, que se caracteriza por su curso indolente y buen pronóstico. Sin embargo algunas alteraciones genéticas, como alteraciones del gen P53 o estatus no mutado de la cadena pesada de la inmunoglobulina, pueden producir una evolución desfavorable(2).
Presentaremos dos casos de linfoma linfocítico de células pequeñas B intracraneal primario dural en pacientes inmunocompetentes.
Casos clínicos
Caso 1. Mujer de 52 años al momento del diagnóstico, que consulta por cefalea lateralizada a izquierda de un mes de evolución, asociada a náuseas y vómitos de predominio nocturno. Posteriormente se asocia signos de parálisis de III y IV par craneano izquierdo con ptosis palpebral izquierda, epifora y diplopía. Se realiza resonancia magnética cerebral que informa proceso expansivo sólido izquierdo de aproximadamente 6,2 cm en sentido cráneo caudal, 2,8 cm en el sentido transversal y 3 cm en sentido anteroposterior, con aspecto de meningioma, con compromiso del seno cavernoso, extensión intraorbitaria a fosa infratemporal y espacio carotídeo ipsilateral. La angiorresonancia magnética cerebral y la tomografía computada de tórax, abdomen y pelvis no demuestran hallazgos patológicos. Se realiza resección quirúrgica subtotal de la lesión en otro centro. La biopsia es informada como linfoma linfocítico de células pequeñas con expresión de CD20, CD43, CD5, CD23 y Bcl-2 en células tumorales y Ki-67 de 30%. La citometría de flujo y la biopsia de médula ósea no muestran infiltración por linfoma. El estudio de líquido cefalorraquídeo con citología y citometría de flujo demuestra ausencia de infiltración por linfoma. La electroforesis de proteínas no muestra componente monoclonal. El hemograma y el perfil bioquímico no muestran alteraciones. Se decide realizar radioterapia con 21,8 Gy. La resonancia nuclear magnética de control demuestra cambios postquirúrgicos, sin evidencia de recidiva de tumor. En los meses siguientes mantiene molestias secuelares como amaurosis izquierda y síntomas vertiginosos, sin evidencia de recidiva tumoral.
Dos años después consulta por presentar dolor lumbar irradiado a extremidad inferior izquierda. La resonancia magnética de columna lumbar muestra múltiples lesiones de localización secundaria en vértebras lumbosacras sugerentes de compromiso por tumor, asociadas a proceso expansivo sacro que compromete el canal raquídeo y agujeros sacros. Se realiza PET-CT que informa linfonodo intraparotídeo izquierdo (SUV 3.1), nódulo pulmonar izquierdo de 28 x 22 mm (SUV 6.6), adenopatía hilio pulmonar izquierdo de 53 x 28 mm (SUV de 7.3), masa pelviana en relación a fosa ovárica izquierda de 48 x 36 mm (SUV de 6.5), adenopatías inguinales bilaterales (SUV de 5.2), múltiples focos hipermetabólicos a nivel de hueso medular (SUV de 19.2) y lesión en cara anterior del sacro de 51 x 20 mm con SUV 5.6. Se sospecha recidiva tumoral y se realizan 10 ciclos de RT paliativa en columna lumbosacra. No se realiza biopsia previa a terapia por escasez de cupos de quirófano secundario a presión asistencial en contexto de pandemia. Dos meses después se realiza biopsia del nódulo pulmonar, que indica linfoma linfocítico de células B pequeñas, que muestra expresión positiva de CD20, CD5 y Bcl-2, y negativa para ciclina-D1 y SOX-11, con Ki67 expresado en menos de 5% de las células tumorales. La biopsia de médula ósea demuestra depleción de células hematopoyéticas con extensa fibrosis medular sin compromiso tumoral. La citometría de flujo de médula ósea no demuestra infiltración por células linfoides B clonales.
Se inicia quimioterapia con protocolo fludarabina, ciclofosfamida y rituximab (FCR), de los cuales alcanza a recibir sólo 4 de 6 ciclos programados, debido a toxicidad hematológica y por presentar infección concomitante por SARS-COV2 con PCR persistentemente positiva y lesiones fibróticas pulmonares residuales. La tomografía de mitad de tratamiento muestra lesiones óseas escleróticas residuales y desaparición de adenopatías descritas inicialmente. Posteriormente se realiza radioterapia de lesión de cadera y cresta ilíaca izquierda. No se puede realizar PET-CT de control por falta de disponibilidad en el sistema. Luego de 1 año de seguimiento permanece sin signos de nueva recidiva y citopenias moderadas que, estudiadas con biopsia de médula ósea, inmunofenotipo y morfología, corresponderían a hipoplasia medular y mielodisplasia secundaria a la quimioterapia.
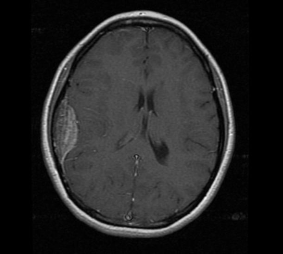
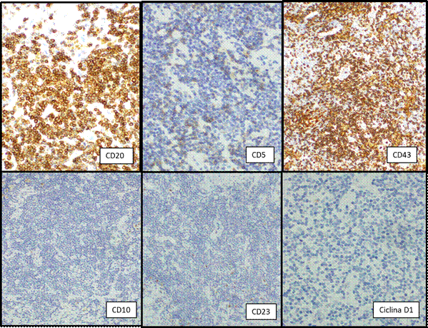
Caso 2. Mujer de 26 años al momento del diagnóstico. Consulta por cefalea crónica y se realiza resonancia magnética de cerebro con contraste que informa proceso expansivo extraaxial sésil, biconvexo frontoparietotemporal derecho con efecto de masa moderado de 4,9 x 2 x 5,4 cm en sentido cefalocaudal, transverso y anteroposterior, sugerente de meningioma (Figura 1). Se realiza resección quirúrgica del tumor con craniectomía parcial. La biopsia informa tejido meníngeo y fragmento óseo infiltrados por tumor linfoide compatible con linfoma linfocítico de células B pequeñas (Figura 2), con estudio inmunohistoquímico positivo en células tumorales para CD20, CD43, CD45Ro, CD79a y Bcl-2 y focal para CD5 y CD23 y negativa para ciclina D1 y CD10, con un Ki-67 positivo en 1% (Figura 3). La tomografía computada de tórax, abdomen y pelvis no demuestra signos de compromiso por linfoma. La biopsia e inmunofenotipo de médula ósea no muestran infiltración por células con fenotipo de LLC. El perfil bioquímico es normal. El hemograma muestra una anemia normocítica leve (Hb 10 g/dL) con velocidad de eritrosedimentación (VHS) levemente elevada (57 mm en la primera hora). Se realiza radioterapia localizada con 36 Gy. Luego de 5 años de seguimiento permanece sin evidencia de recidiva.
Discusión
El LPSNC se presenta clínicamente con signos neurológicos, incluyendo déficits neurológicos focales (56% a 70%), alteración del comportamiento y estado mental (32% a 43%), convulsiones (11% a 14%), cefalea (32% a 33%) y síntomas oculares (4%)(5), como ocurrió en estos casos. El estudio inicial incluye historia clínica, examen físico y neuroimagen que puede ser tomografía computarizada (TC) o resonancia magnética (RM), mientras que la confirmación diagnóstica se realiza con biopsia. Una vez confirmado el diagnóstico de linfoma, se debe descartar que sea LPSNC o diseminación secundaria de otro LNH, para lo cual se debe realizar un estudio que incluya imágenes, biopsia de médula ósea y estudio de LCR(2-4).
Los LPSNC son en su mayoría de alto grado e intraparenquimatosos, manifestándose en la resonancia nuclear magnética como hipointensidad única o, menos frecuente, múltiple en T2 con realce ávido en masas periventriculares. Los LPSNC de bajo grado presentan algunas diferencias en la RNM como son la ubicación en estructuras profundas o en médula espinal, ausencia de ubicación periventricular, hiperintensidad en T2 y realce de contraste moderado o escaso(3). El compromiso meníngeo se observa comenzando en la interfaz leptomeníngea/duramadre dándole una apariencia de una masa en la base dural, como en nuestros casos(3).
El linfoma linfocítico del SNC representa un tipo de LPSNC de bajo grado que, por su curso clínico insidioso, es de difícil diagnóstico, en relación al resto de los casos que se presentan de forma más agresiva(4). Asimismo, la apariencia de la neuroimagen puede ser poco habitual simulando otras lesiones(3), por lo cual existen diversos diagnósticos diferenciales de naturaleza benigna y maligna(5). Dentro de ellas, destaca el meningioma, que representa el tumor primario más común del cerebro y la médula espinal, siendo el 33,8% de todos los tumores diagnosticados del SNC(6). El diagnóstico se establece por hallazgos radiológicos característicos de una masa extra-axial supratentorial con una cola dural que es típicamente isodensa en la tomografía computarizada (TC) e isointensa en imágenes de resonancia magnética ponderada T1 y T2, y aumenta en intensidad con gadolinio como en uno de nuestros casos (Figura 1). Otros diagnósticos diferenciales incluyen enfermedades desmielinizantes, como la esclerosis múltiple, y gliomas(3).
Los linfomas linfocíticos primarios del SNC son poco frecuentes y en la literatura se han reportado remisiones completas y de síntomas sin cambios en las lesiones(4). El compromiso dural está más relacionado con histologías tipo MALT, siendo el linfoma linfocítico observado sólo en 3 de 46 casos incluidos en un reporte de casos con revisión de la literatura(7). Las manifestaciones clínicas de baja agresividad se acompañan de una expresión escasa de Ki67, que en general en los LPSNC es mayor de un 50%, mientras que en nuestros casos fue de 30% y 1% respectivamente. En una revisión retrospectiva de LPSNC indolentes, la mayoría de los cuales fueron intraparenquimatosos, el factor pronóstico más importante fue la edad(8), siendo los menores de 60 años los que presentan la mayor sobrevida a largo plazo. Otros tipos de linfoma de bajo grado que pueden comprometer en forma poco frecuente el SNC son el linfoma linfoplasmocítico y folicular, pero se diferencian de nuestros casos por no tener expresión de CD5. El linfoma del manto puede expresar CD5, pero no CD23, y además son ciclina D1 positivos, lo que no ocurrió en los casos descritos. Debido a la baja frecuencia de los casos, el tratamiento del LPSNC de bajo grado no está estandarizado, pero suele indicarse una terapia menos agresiva y más localizada consistente en cirugía y radioterapia, como nuestros casos(8).
La recaída sistémica de un linfoma linfocítico de células B intracraneal dural es excepcional, no existiendo en nuestro conocimiento casos similares descritos en la literatura nacional o extranjera. El caso que recayó tardíamente pudo ser controlado en forma inicial con cirugía y radioterapia, pero esto no impidió su diseminación sistémica. La presentación inicial de este caso fue localmente agresiva, lo que sugiere que otros factores intrínsecos al tumor puedan haber comandado esta evolución desfavorable.
Bibliografía
1. Sinicrope K, Batchelor T. Primary Central Nervous System Lymphoma. Neurol Clin. 2018;36 (3):517-532.
2. Jahnke K, Thiel E, Schilling A, Herrlinger U, Weller M, Coupland SE et al. Low-grade primary central nervous system lymphoma in immunocompetent patients. Br J Haematol. 2005;128 (5):616-24.
3. Jahnke K, Schilling A, Heidenreich J, Stein H, Brock M, Thiel E et al. Radiologic Morphology of Low-Grade Primary Central Nervous System Lymphoma in Immunocompetent Patients. Am J Neuroradiol. 2005; 26:2446-2454.
4. Guo R, Zhang X, Niu C, Xi Y, Yin H, Lin H, Chang T. Primary central nervous system small lymphocytic lymphoma in the bilateral ventricles: two case reports. BMC Neurol. 2019;19 (1):200.
5. Starr CJ, Cha S. Meningioma mimics: five key imaging features to differentiate them from meningiomas. Clin Radiol. 2017; 72(9):722-728.
6. Douleh DG, Morone PJ, Forbes JA, Thompson RC. Intracranial Marginal Zone B-Cell Lymphoma Mimicking Meningioma. World Neurosurg. 2016;91:676.e9-676.e12.
7. Giordano A, Perrone T, Guarini A, Ciappetta P, Rubini G, Ricco R et al. Primary intracranial dural B cell small lymphocytic lymphoma. Leuk Lymphoma. 2007;48(7):1437-43.
8. Jahnke K, Korfel A, O’Neill BP, Blay J-Y, Abrey LE, Martus P et al. International study on low-grade primary central nervous system lymphoma. Ann Neurol. 2006;59 (5),755-762.

Figura 1. Resonancia magnética caso 2. Corte transversal T1 con gadolinio.

Figura 2. Tinción de hematoxilina-eosina de caso 2. A la izquierda (A y C) se observa invasión del tumor en las meninges y en el hueso craneal (40x). A la derecha (B y D) se aprecia a mayor aumento la morfología uniforme de las células pequeñas (400x). M: meninges, TU: tumor, H: hueso.

Figura 3. Tinción de inmunohistoquímica del caso 2. Se observa expresión manifiesta para CD20 y CD43, focalmente positiva para CD5 y negativa para CD23, CD10 y ciclina D1.