Trombosis venosa cerebral en paciente joven con COVID-19
Cerebral venous thrombosis in a young patient with COVID-19 infection
Bustos A1, Ceresetto J2, González F1, Caiza Zambrano F1, Bala M1, Bandeo L1, Uribe Roca C1, León Cejas L1, Stemmelin G2, Fernández Pardal M1, Reisin R1, Bonardo P1
1Servicio de Neurología y 2Servicio de Hematología del Hospital Británico de Buenos Aires
Email: ariellbustos@gmail.com
Palabras clave: COVID-19,
SARS-CoV-2,
trombosis venosa cerebral.
Keywords: COVID-19,
SARS-CoV-2,
cerebral venous thrombosis.
Resumen
La trombosis de senos venosos cerebrales (TSVC) es una entidad infrecuente que afecta más habitualmente a mujeres jóvenes. Entre algunos de los factores de riesgo que se han descripto se destacan la trombofilia, el cáncer, la utilización de anticonceptivos orales con estrógenos y el embarazo. La manifestación clínica más común es la cefalea. Describimos el caso de un paciente masculino sin factores de riesgo que presentó TSVC en contexto de neumonía bilateral por SARS-CoV-2. El paciente recibió tratamiento anticoagulante con buena evolución. Durante la pandemia actual de COVID-19 se ha descrito una posible asociación entre la infección por virus SARS-CoV-2 y la aparición de TSVC. Se postulan diferentes mecanismos fisiopatológicos que podrían explicar la asociación, como la injuria endotelial y el estado de hipercoagulabilidad asociado a formas severas de infección. El tratamiento recomendado actualmente es la anticoagulación con antagonistas de la vitamina K durante 3 meses, aunque se requieren estudios clínicos específicamente dirigidos a fin de definir la estrategia terapéutica óptima para esta población especial de pacientes.
Abstract
Cerebral sinus venous thrombosis (CSVT) is an uncommon disease affecting mainly young women. Several risk factors have been described, such as thrombophilia, cancer, oral contraception and pregnancy. Headache is the most common clinical manifestation. Here we describe the case of a young man without risk factors who developed CSVT in association with SARS-CoV-2 bilateral pneumonia. He was treated with anticoagulants with good clinical outcome. A possible association between SARS-CoV-2 infection and occurrence of CSVT has been described since COVID-19 pandemic begun. Pathophysiology has been linked to endotelial injury and hypercoagulable state seen in severe forms of disease. Anticoagulation with vitamin K antagonist for a period of three months is the treatment of choice, but specifically directed clinical trials are required in order to define a best therapeutic strategy in this special patient population
Introducción
La TSVC es una entidad poco frecuente que afecta preponderantemente a pacientes jóvenes y de género femenino. La incidencia se estima en 1,3 a 1,6 casos por cada 100.000 personas(1). Los eventos trombóticos pueden ocurrir tanto en los senos durales como en las venas cerebrales corticales o profundas. Las manifestaciones clínicas más habituales son cefalea, convulsiones, presencia de signos neurológicos focales, encefalopatía, deterioro del sensorio e hipertensión endocraneana(2). Se han identificado diferentes factores de riesgo, tales como trombofilias hereditarias, cáncer, enfermedades sistémicas (lupus eritematoso sistémico, sarcoidosis, síndrome antifosfolipídico), embarazo y puerperio, infecciones de cabeza y cuello, traumatismo encefalocraneano y utilización de anticonceptivos orales, entre otros(1). El virus SARS-CoV-2, causante de la pandemia actual de COVID-19, ha sido asociado a diferentes eventos vasculares como trombosis venosa profunda, tromboembolismo pulmonar y ACV isquémico o hemorrágico. Recientemente se han descripto también casos de TSVC en pacientes con COVID-19 no asociados a vacunación contra el SARS-CoV-2(3)
Caso clínico
Paciente de 52 años de edad con antecedente de hipertrigliceridemia familiar que ingresa a nuestra institución por cuadro de neumonía bilateral por COVID-19. Al sexto día de internación (y día 16 desde la fecha de inicio de síntomas) evoluciona con cefalea y náuseas y 24 horas después presenta crisis tónico clónica generalizada y deterioro posterior del sensorio con requerimiento de intubación orotraqueal, por lo cual se inicia tratamiento con levetiracetam. Requiere asistencia respiratoria mecánica durante 7 días. Se realiza angioTC de vasos intracraneales que evidencia trombosis a nivel de la prensa de Herófilo, seno transverso, vena anastomótica de Labbé y vena yugular derecha. Se inicia anticoagulación con enoxaparina en dosis de 1 mg/kg cada 12 horas. En exámenes de laboratorio presenta los siguientes valores: ferritina 2933 ng/mL (valor normal 4.6 -204 ng/mL), eritrosedimentación 1ª hora 67 mm (valor normal menor a 20 mm), proteína C reactiva (PCR) cuantitativa 5.9 mg/dL (valor normal menor a 0.8 mg/dL), LDH 451 U/L (valor normal 125 -220 U/L), anticuerpos anticardiolipina IgM 15 MPL e IgG 1 GPL (valor normal menor a 10), anticuerpos anti β2-glicoproteína IgG e IgM 1 U/mL (valor normal menor a 5), factor V Leiden negativo y homocisteinemia 8 µmol/L (valor normal 5 - 15 µmol/L), recuento plaquetario en valores normales durante toda la internación y nivel de actividad anti-Xa posterior al inicio del tratamiento con HBPM de 1,28 U/mL. Intercurre con fibrilación auricular de alta respuesta ventricular que requiere tratamiento con amiodarona. Posterior a la extubación comienza a referir trastornos visuales transitorios, y en su examen neurológico se evidencia dismetría en prueba índice-nariz derecha. En dicho contexto se realiza RMN de cerebro que evidencia lesiones isquémicas en hemisferio cerebeloso derecho y región occipital izquierda en relación al territorio vascular venoso comprometido. Evoluciona favorablemente con estabilidad desde el punto de vista clínico y neurológico, y egresa con tratamiento con acenocumarol.
Discusión
Presentamos el caso de un paciente varón joven sin factores de riesgo que presenta TSVC en el curso de infección por COVID-19 a las dos semanas del inicio de síntomas de infección. La evidencia actual sugiere una asociación entre ambas entidades. Se ha observado que la TSVC puede presentarse aun en ausencia de otros factores predisponentes y se han propuesto al respecto diferentes mecanismos fisiopatológicos. En primer lugar, la infección por SARS-CoV-2 puede producir elevación de marcadores protrombóticos e inflamatorios como el fibrinógeno, el dímero D, la PCR y la interleuquina 6, desencadenando de esta manera un estado de hipercoagulabilidad. Por otra parte, la interacción del SARS-CoV-2 con el receptor de la enzima convertidora de angiotensina (ECA) podría resultar en injuria endotelial, con la consecuente activación de la cascada de la coagulación(3). Si bien los eventos trombóticos asociados a COVID-19 se han presentado principalmente en aquellos pacientes con formas moderada o severa de la enfermedad, también se han reportado casos en pacientes cursando formas leves de infección. Asimismo, es importante remarcar que está descripta la ocurrencia de la TSVC tanto en forma aislada o bien asociada con otros fenómenos trombóticos venosos(3). Por otra parte, se ha observado elevación de títulos de anticuerpo anti-cardiolipina en estados de hipercoagulabilidad y en el contexto de ciertas infecciones virales sistémicas, aunque no está claro si esto juega un papel patogénico en la generación de la TSVC(4). En nuestro caso no se pudo evaluar la presencia de inhibidor lúpico, ya que el paciente se encontraba bajo tratamiento con HBPM. Si bien el episodio de COVID-19 parece tener una relación temporal directa con TSVC en este caso, siempre se deben considerar también otras causas subyacentes que pueden provocar un evento trombótico, como otras trombofilias congénitas (entre ellas la mutación 20210 del gen de la protrombina y la mutación JAK2 asociada a síndromes mieloproliferativos crónicos).
Nuestro paciente desarrolló TSVC más de dos semanas después del inicio de síntomas de COVID-19 y presentó afectación aislada de senos venosos durales. La relación temporal de la TSVC con la infección por COVID-19 es variable, pudiendo en algunos casos ser la manifestación inicial de la enfermedad(5) o bien presentarse incluso hasta tres meses posteriores al inicio de la infección(6). La TSVC como complicación trombótica del COVID-19 debe ser sospechada en pacientes que desarrollan signos o síntomas neurológicos en el transcurso de la infección. Más allá de la posible asociación causal entre la infección por SARS-CoV-2 y TSVC, debe profundizarse el estudio del paciente para descartar otros factores de riesgo habitualmente presentes en la TSVC.
En relación al tratamiento de la TSVC, se recomienda la terapia inicial con heparina de bajo peso molecular seguida de anticoagulación oral con antagonistas de la vitamina K, aunque la duración no está del todo definida y las decisiones deben tomarse teniendo en cuenta el escenario clínico de cada paciente y la etiología del cuadro. Esta indicación de tratamiento se ha extrapolado para los pacientes con COVID-19, aunque se requieren estudios clínicos específicamente diseñados para definir la terapéutica más adecuada(7,8).
Conclusiones
Presentamos el caso de un paciente que desarrolló TSVC en contexto de infección por SARS-CoV-2 que evolucionó favorablemente con el tratamiento anticoagulante instaurado. La TSVC suele ser un diagnóstico dificultoso y en ocasiones tardío, debido a que la sintomatología en algunas situaciones puede ser sutil o atribuida a otra etiología. Es importante tener una alta sospecha clínica, ya que el diagnóstico y tratamiento precoz pueden cambiar el pronóstico del paciente.

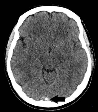
Figura 1. TC cerebro sin contraste corte axial que evidencia imagen espontáneamente densa a nivel de la prensa de Herófilo (flecha negra)

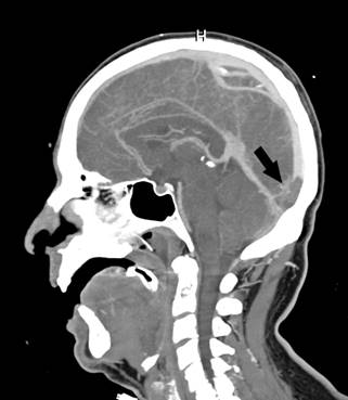
Figura 2. AngioTC venosa corte sagital que muestra ausencia de contraste a nivel de la confluencia de los senos, compatible con presencia de trombo (flecha negra)
Bibliografía
1. Silvis SM, Aguiar de Sousa D, Ferro JM, Coutinho JM. Cerebral venous thrombosis. Nat Rev Neurol. 2017;13:555-565.
2. Ropper AH, Klein JP. Cerebral venous thrombosis. N Engl J Med. 2021;385:59-64.
3. Dakay C, Cooper J, Bloomfield J y col. Cerebral venous sinus thrombosis in COVID-19 infection: a case series and review of the literature. J Stroke Cerebrovasc Dis. 2021;30(1):105434.
4. Klein DE, Libman R, Kirsch C, Arora R. Cerebral venous thrombosis: atypical presentation of COVID-19 in the young. J Stroke Cerebrovasc Dis.2020;29(8):104989.
5. Al-Mufti F, Amuluru K, Sahni R y col. Cerebral venous thrombosis in COVID-19: a New York metropolitan cohort study. Am J Neuroradiol. 2021;42(7):1196-1200.
6. Şimşek F, Tosunoğlu R. Massive cerebral venous thrombosis and venous watershed infarction as late complications of COVID-19: a case report. Neurol Sci. 2021 Nov;42(11):4421-4423.
7. Ghosh R, Roy D, Mandal A y col. Cerebral venous thrombosis in COVID-19. Diabetes Metab Syndr. 2021;15(3):1039-1045.
8. Medicherla CB, Pauley RA, De Havenon A, Yaghi S, Ishida K, Torres JL. Cerebral venous sinus thrombosis in the COVID-19 pandemic. J Neuroophthalmol. 2020;40:457-462.